Początki przygody – luty 2021 Kilka samic i samców kupionych od hodowcy z Bydgoszczy. Patyczaki, to zwierzęta należące do Typu STAWONOGÓW i Gromady Owadów. Zachęcam do oglądania moich zdjęć pod kątem stawów między członami odnóży; zdjęć dotyczących procesu wylinki czy w końcu, kiedy owady zbliżają się do postaci dojrzałej – Imago: do oglądania zdjęć na […]
Polska jest piękna ! – Okolice góry Wdżar / Beautiful Poland
czerwiec 2020
Pocztówka z Nowego Wiśnicza
Zachęcam do oglądania zdjęć przedstawiających to, jak ja widzę mój dom – Nowy Wiśnicz i jego okolice. Z czasem ten wpis się rozwinie.
Tea Tree Lookout, Central Coast
Piękno lasów deszczowych Gondwany – Gondwana Rainforests
Podczas pożegnalnej – 2 tygodniowej podróży po Australii poprzedzającej powrót do Polski, odwiedziliśmy m.in. z namiotem lasy deszczowe Gondwany w okolicy miasta Dorrigo i parku narodowego Dorrigo (listopad 2019). Postanowiliśmy spędzić około 4 noce na kempingu Thungutti (Thungutti campground). AUSTRALIA zainspirowała Nas do chodzenia, więc podczas kempingu tropiliśmy okoliczną przyrodę. Miałam nadzieję, że uda mi […]
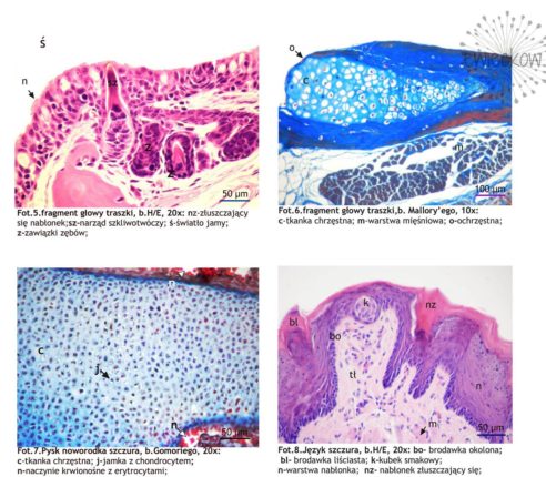
Mikroskopia: skrawki histologiczne tkanek zwierząt
Techniki histologiczne, to dziedzina biologii zajmująca się preparowaniem oraz obrazowaniem tkanek. Czytaj więcej o Mikroskopia: skrawki histologiczne tkanek zwierząt …
Golden Wattle – Narodowa roślina Australii. Spacerem przez rezerwaty „Badangi reserve” i „Berry Island reserve”
Podróż po południowym Queensland. Kogo / co spotkałam? ?









Czytaj więcej o Podróż po południowym Queensland. Kogo / co spotkałam? ? …
„Kogo” spotkałam przy plaży Maroubra w Sydney?
Oprócz Jacka i Ani, których serdecznie pozdrawiam na pięknej i ogromnej plaży Maroubra w Sydney bez długich poszukiwań można spotkać ciekawe gatunki mięczaków – tak jak Dolabrifera brazieri. Zdjęcia wstawiam poniżej. Poniżej podaję adres pod którym możesz zapoznać się z bogato ilustrowanym artykułem naukowym przedstawiającym zróżnicowanie gatunków ślimaków morskich występujących w południowo-wschodniej Australii, na terenie […]
Nasza przygoda z ośmiornicą
Rodzinna przygoda podczas której poczęstowaliśmy ośmiornicę kawałkiem łososia z naszej kanapki, nabijając go na patyk. Na filmie widać jak ośmiornica zdejmuje kawałek łososia z patyka i go zjada. Głowa ośmiornicy miała około 15 cm szerokości, a rozpiętość macek miała długość kilkudziesięciu centymetrów. Lokalizacja: Balmoral Beach w Sydney.
„Kogo” spotkałam w Susex Inlet, w Australii ?
Phalacrocorax sp. , Phalacrocorax carbo – Kormoran zwyczajny / great black cormorant Phalacrocorax sp. Kangur australijski tzw. olbrzymi (Macropus giganteus)
„Kogo” spotkałam w Narrabeen Lagoon, w Sydney ?
„Kogo” spotkałam na Balmoral beach?
Gatunki zwierząt morskich spotkane przeze mnie na Balmoral Beach, w Sydney 🙂 Jako pierwszy, gatunek ślimaka nagoskrzelnego, który jest bezmuszlowy oraz wykorzystuje napięcie powierzchniowe wody. Teoretycznie, dotykanie stanowi zagrożenie dla człowieka, ponieważ „Niebieski smok” odżywia się najczęściej morskim, jadowitym organizmem zwanym potocznie „Żeglarzem portugalskim”. Żeglarz portugalski – Physalia physalis, tak naprawdę, stanowi kolonię organizmów, a […]
Flora of the Sydney, Trees: Eucalyptus, Corymbia ficifolia – Red flowering Gum
STRONA W BUDOWIE
Cremorne Point-Sydney
Jak wygląda Cremorne Ponit 31 grudnia (2018) ?
Flora of the Sydney – Kangaroo Paws – Anigozanthos sp.
STRONA W BUDOWIE
Spacer z Bondi do Clovelly beach
STRONA W BUDOWIE
Balmoral Beach
Strefa pływów – współzawodnictwo występowania różnych gromad Gastropoda takich jak Cirripedia i różnych kladów ślimaków morskich zwanych Limpetami / Different infraclasses of Gastropoda such as Cirripedia and different clades of „Limpet” snails are competing for space in the intertidal zone. listopad 2018 / November 2018 Rocky Point Island Rocky Point Island
Co spotkałam na szlaku wzdłuż rzeki Capertee ? BULLDOG ANTS
Bull Ants – jedne z największych i najbardziej agresywnych gatunków mrówek. Należą do rodzaju Myrmecia obejmującego około 90 znanych gatunków. Większość z nich to gatunki endemiczne Australii ! Czyli takie gatunki, które nie występują nigdzie indziej poza obszarem Australii. Należą do jednej z najbardziej prymitywnych grup mrówek występujących na ziemi, ale ich zachowanie jest odmienne od wiekszości występujących mrówek.
Czytaj więcej o Co spotkałam na szlaku wzdłuż rzeki Capertee ? BULLDOG ANTS …
Osobliwe skrzynki na listy Australijczyków :) Ozzie clever letterboxes
„Kogo” spotkałam na Coorongooba Campground ? Monitor Lizard (Australia)
Coorongooba campground – niezwykły camping w Wollemi NP w Australii Camping mnie zachwycił, tam pierwszy raz spotkałam Goannę, jeden z gatunków wielkich australijskich jaszczurek, z rodziny waranowatych (z rodzaju Varanus sp.), nazywane MONITOR LIZARDS. Pomijając spotkane w tym miejscu kangury i inne wpaniałe gatunki ptaków, gadów, owadów to nie o nich tu będzie. Zachęcam […]
Wendy’s secret garden / Kirribilly
Spacer po dzielnicy Sydney – Kirribilly, Wendy’s secret garden, North Sydney Olympic Pool, Luna Park Sydney 🙂
Spacer z Maroubra do Malabar beach
STRONA W BUDOWIE
WSZYSCY chcą mieć z nią zdjęcie ! Jacaranda sp. / Everybody wants to have a picture with it !
Flora of the Sydney – Trees: Callistemon sp.
Flora regionu Sydney – drzewa z rodzaju Callistemon sp.

Należą do szczepu Melaleuceae rodziny Myrtaceae 🙂
Drzewa, które zachwycają Nas „krwistą” czerwienią swoich kwiatów Czytaj więcej o Flora of the Sydney – Trees: Callistemon sp. …
Spacer z Manly Wharf do Collins flat beach – Sydney
Tropem pingwinków o których przeczytacie tutaj i tutaj dojedziecie do Manly Wharf. Czytaj więcej o Spacer z Manly Wharf do Collins flat beach – Sydney …









